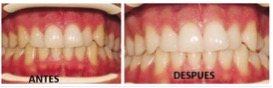
El blanqueamiento dental es un tratamiento dental estético revolucionario que logra reducir varios tono el color original de las piezas dentales, dejando los dientes más blancos y brillantes.
Tipos de blanqueamientos:
1.- En clínica
2.- En casa
3.- Mixto o dual
Lo más habitual es utilizar una técnica mixta.
En la clínica se aplica el producto blanqueante, que se activa mediante una lámpara LED, que lo que hace es abrir el poro del esmalte, para conseguir así blanquear el diente. Normalmente requiere de unas dos o tres sesiones, depende de cada caso, de aproximadamente unos 10 minutos.
Después hay que hacer un recordatorio del tratamiento en casa, por medio de unas férulas que llevan el mismo producto blanqueante, pero con menos concentración.
Se puede volver a poner esta férula pasados unos meses como recordatorio, si notamos que se pierde algo de color.


